
Bệnh bạch cầu là gì?
Bệnh bạch cầu là một kiểu ung thư. Ung thư là một nhóm hom 100 bệnh có hai điều quan trọng chung. Một là những tế bào nhất định trong cơ thể trở thành dị thường. Điều nữa là thân thể tiếp tục sản sinh số lượng lớn những tế bào dị thường này.
Bệnh bạch cầu là ung thư của những tế bào máu. Mỗi năm, gần như 27,000 người lớn và hơn 2,000 trẻ con ở Hoa kỳ biết bị bệnh bạch cầu. Để hiểu bệnh bạch cầu, thật có ích khi ta biết về những tế bào máu bình thường và cái gì xảy ra với chúng khi bệnh bạch cầu phát triển.
Tế bào máu bình thường.

Máu gồm có chất dịch lỏng gọi là plasma và ba loại tế bào. Mỗi loại có chức năng riêng.
Tế bào bạch cầu giúp đỡ cơ thể chiến đấu chống bệnh truyền nhiễm và những bệnh khác.
Tế bào hồng cầu mang oxy từ phổi đến các mô cơ thể và lấy khí carbonic từ mô quay trở lại phổi. Tế bào hồng cầu tạo màu đỏ của máu.
Tế bào tiểu cầu giúp đỡ tạo cục máu đông kiểm soát sự chảy máu.
Những tế bào máu được hình thành trong tủy xương, phần trung tâm mềm xốp của xương. Những tế bào máu mới (chưa trưởng thành) được gọi là các tế bào non. Vài tế bào non ở lại trong tủy để trưởng thành. Một số tới những phần khác của cơ thể để trường thành.
Bình thường, những tế bào máu được sản sinh theo trật tự, được kiêm soát theo cách khi thân thể cần chúng. Quá trình này giữ cho chúng ta mạnh khoẻ.
Bệnh bạch cầu
Khi bệnh bạch cầu phát triển, cơ thể sản sinh một số lớn những tế bào máu bất thường. trong đa số các kiểu bệnh ung thư máu, những tế bào dị thường là những bạch cầu. Tế bào bệnh bạch cầu (thông thường nhìn khác với tế bào máu bình thường và chúng không thực hiện đúng chức năng của chúng).

Tai sao bị ung thư máu?
Cho đến hiện nay, chúng ta vẫn chưa biết nguyên nhân vi sao gây ra ung thư máu. Những nhà nghiên cứu đang cố gang giải quyết vấn dề này. Những nghiên cứu cho thấy rằng, ung thư máu thường gặp ở nam hơn nữ và những người da trang thường mắc bệnh hơn những người da đen. Tuy nhiên, người ta vẫn chưa thể giải thích tại sao người này thì bị còn người kia lại không.
Qua việc nghiên cứu số lượng lớn người Irên khắp thế giới, nhũng nhà nghiên cứu đã tìm thấy những yếu tố nguy cơ nhất định làm tăng nguy cơ phát triển bệnh bạch cầu. Ví dụ, sự tiếp xúc với một lượng lón bức xạ nâng lượng cao sẽ làm tăng nguy cơ bị bệnh bạch cầu. Các chất phóng xạ này thường được sản sinh sau vụ nổ bom nguyên tử ở Nhật Bản trong thời gian chiến tranh Thế Giói thứ 2. Trong những nhà máy năng lượng hạt nhân, những quy tắc an toàn tuyệt đối nhàm bảo vệ công nhân và cộng đồng tránh tiếp xúc với khối lượng bức xạ có hại.
Nghiên cứu gợi ý rằng sự tiếp xúc trong những lĩnh vực điện từ là một yếu tố nguy cho bệnh bạch cầu ( những lĩnh vực điện từ là một kiểu cùa bức xạ năng lượng thấp đến từ dây diện và thiết bị điện). Tuy nhiên, nhiều nghiên cứu hơn cần thiết đổ chứng minh mối liên kết này.
Một sổ tình trạng di truyền có thế tăng thêm nguy cơ cho bệnh bạch cầu. Đó là hội chứng Down. Trẻ con sinh ra với hội chứng này có bệnh bạch cầu cao hơn so với trẻ khác.
Những công nhân tiếp xúc với hóa chất nhất định, trong cả một thời kỳ dài sẽ có nguy cơ cao bị ung thư máu. Benzen là một trong sổ hóa chất này. Đồng thời, vài thuốc sử dụng điều trị các loại ung thư khác có thể tăng thêm nguy cơ cho con người phát triển bệnh bạch cầu. Tuy nhiên, nguy cơ này rất nhỏ so với lợi ích mà mà hoá trị liệu mang lại.
Các nhà khoa học đã xác định được loại virut có khả năng làm tăng thêm nguy cơ mắc ung thư máu. Những nhà khoa học khắp thế giới tiếp tục nghiên cứu virut và nguy cơ có thể khác cho bệnh bạch cầu. Bằng việc nghiên cứu vì sau bị ung thư máu, từ đó các nhà khoa học hy vọng hiểu rõ hơn phương pháp để ngăn chặn và điều trị bệnh bạch cầu.
Có những loại ung thư máu nào?

Có vài loại bệnh bạch cầu. Chúng được sắp xếp lại theo hai cách. Một cách là theo sự phát triển nhanh chóng ra sao và tồi tệ đi như thế nào. Cách khác bởi kiểu tế bào máu bị ảnh hưởng. Trong bệnh bạch cầu cấp, những tế bào máu dị thường là những tế bào non còn lưu giữ đặc tính chưa trưởng thành và không thể thực hiện những chức năng bình thường của chúng, số lượng của tế bào non tăng thêm nhanh chóng, và bệnh trở thành xấu hơn đi nhanh chóng.
Trong bệnh bạch cầu kinh niên, một số tế bào non có mặt, nhưng nói chung, những tế bào này thì đã trường thành hơn và có thể thực hiện một số chức năng bình thường của chúng. Bệnh bạch cầu có thể xuất hiện trong cả hai kiểu bạch cầu chính: Những tế bào bạch huyết hoặc những tế bào tủy. Khi bệnh bạch cầu ảnh hường những tế bào bạch huyết, nó được gọi bệnh bạch cầu tế bào lympho. Khi những tế bào tủy bị ảnh hưởng, bệnh đưọc gọi tùy xương hoặc bệnh bạch cầu tạo tủy. Đây là những kiểu chung nhất của bệnh bạch cầu.
Bệnh bạch cầu dòng lympho cấp là thể thường gặp nhất của bệnh bạch cầu ờ trẻ em. Bệnh này cũng gây ra ở imười lớn, đặc biệt là ở tuổi 65 hoặc già hơn.
Bệnh bạch cầu dòng tuỷ hầu hết thường ảnh hưởng đến người lớn tuổi hơn 55. Nó thường xảy ra ở người trẻ hơn, nhưng hầu như không bao giờ gây bệnh ở trẻ em.
Bệnh bạch cầu dòng tuỷ mạn chủ yếu xảy ra ở người lớn. Rất ít trẻ em phát triển bệnh này.
Bệnh bạch cầu tế bào lông là một thể không bình thường của bệnh bạch cầu mạn. Thể loại này và loại bất thường khác của bệnh bạch cầu không được bàn đến ở đây. Dịch vụ thông tin ung thư có thể cung cấp thông tin về chúng.
Bệnh này cũng ảnh hưởng đến người lớn, đặc biệt những người tuổi 65 và già hơn.
Các triệu chứng của bệnh bạch cầu là gì?
Những tế bào bệnh bạch cầu là dị thường không thể làm việc binh thường mà những tế bào máu làm. Chúng không thể giúp đỡ cơ thể đấu tranh chống lại bệnh truyền nhiễm. Vì lý do này, những người mắc bệnh bạch cầu thường dễ bị nhiễm trùng và sốt.
Đồng thời, những người bị bệnh bạch cầu thường có số lượng hồng cầu và tiểu cầu ít hơn người bình thường. Kết quả là không có đủ hồng cầu để mang oxy tới khấp các cơ quan trong cơ thể. Điều kiện này, được gọi là sự thiếu máu, những bệnh nhân có thể trông nhợt nhạt và cảm thấy yếu và mệt. Khi không có đủ tiểu cầu, người bệnh dễ bị chảy máu, bầm tím da.Như tất cả các tế bào máu, những tế bào bệnh bạch cầu cũng đi khắp cơ thể. Phụ thuộc vào số lượng tế bào dị thường và nơi mà những tế bào này tập trung, những bệnh nhân bệnh bạch cầu có thể có một số triệu chứng.
Trong bệnh bạch cầu cấp, những triệu chứng xuất hiện và trờ nên tồi hơn nhanh chóng. Những người mắc bệnh này thường đến khám bác sĩ vì họ cảm thấy ốm đi nhanh chóng. Trong bệnh bạch cầu kinh niên, những triệu chứng có thể không xuất hiện trong một thời gian dài. Khi những triệu chứng xuất hiện, lúc đầu nhẹ, sau đó xấu dần đi. Bác sĩ phát hiện bệnh bạch cầu kinh niên khi khám và làm xét nghiệm máu thường qui, mặc dù trước dó người bệnh không có bất kỳ những triệu chứng nào.
Đâu là triệu chứng chung của bệnh hạch cầu:
- Sốt, rét run, và triệu chứng giống như cảm cúm khác.
- Yếu và mệt.
- Bị nhiễm trùng thường xuyên.
- Kém ăn và giảm cân.
- Sưng đau hạch bạch huyết, gan, lách to.
- Bầm tím và chảy máu dễ dàng.
- Sung và chảy máu chân răng.
- Vã mồ hôi, đặc biệt là về đêm.
- Đau khớp và xương.
Trong bệnh bạch cầu cấp, tế bào bất thường có thể tập trung trong não hoặc tủy sống (cũng được gọi là hệ thần kinh trung ương). Kết quả có thể là những bệnh nhức đầu, nôn, lú lẫn, mất kiểm soát cơ bắp, và co giật. Trong bệnh bạch cầu, tế bào cũng có thể tập họp ở tinh hoàn và gây sưng to. Một số bệnh nhân than đau ờ mắt hoặc trên da. Bệnh bạch cầu cũng có thể ảnh hưởng bộ máy tiêu hóa, thận, phổi, hoặc những bộ phận khác của cơ thể.
Trong bệnh bạch cầu kinh niên, những tế bào máu dị thường có thể từ từ tập hợp trong nhiều bộ phận của thân thể. Bệnh bạch cầu kinh niên có thể ảnh hưởng da, hệ thần kinh trung ương, bộ máy tiêu hóa, thận, và tinh hoàn.
Bệnh bạch cầu được chẩn đoán như thế nào?

Để tìm thấy nguyên nhân của triệu chứng ờ một người, bác sỹ hỏi về tiền sử bệnh lý và thăm khám lâm sàng. Ngoài sự kiểm tra sức khoẻ nói chung, bác sỹ sẽ thấy sưng lên ờ gan, lách, và ở những hạch bạch huyết ở nách, bẹn, và cổ.
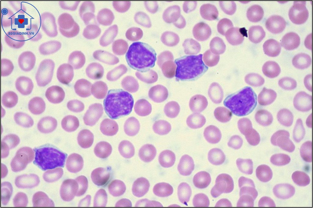
Nhũng xét nghiệm máu: cũng giúp đỡ trong chẩn đoán. Một mẫu máu được khảo sát dưới kính hiển vi để xem hình thể tế bào và để xác định số lượng tế bào trường thành và tế bào non. Mặc dầu những xét nghiệm máu có thể biểu lộ ra rằng bệnh nhân có bệnh bạch cầu, chúng có thể không chì ra kiểu bệnh bạch cầu là gì.
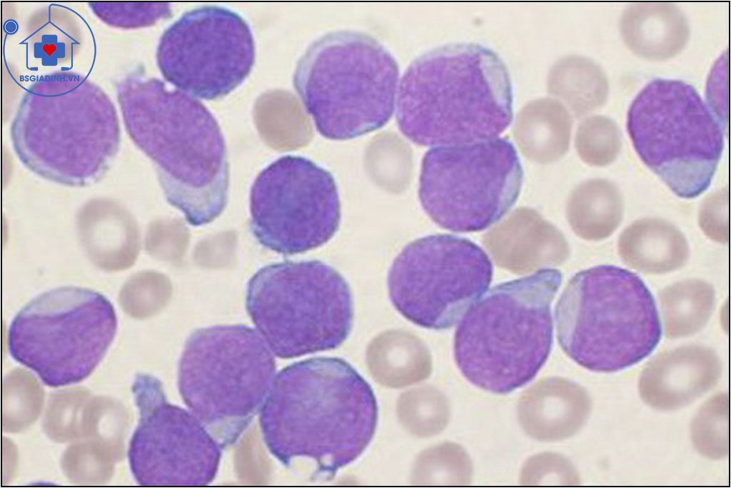
Đe kiểm tra hơn nữa cho những tế bào bệnh bạch cầu hoặc nói kiểu bệnh bạch cầu mà bệnh nhân có, bác sĩ huyết học, nhà ung thư, hoặc nhà giải phẫu bệnh khảo sát một mẫu tủy xương dưới kính hiển vi. Bác sĩ sẽ dùng một cây kim đâm vào vùng xương hông ( xương chậu ), để rút một ít tuỷ xương lỏng, khảo sát dưới kính hiển vi tìm những bất thường. Thủ thuật này được gọi là hút tủy xương để làm tuỷ đồ. Sinh thiết tùy xương được thực hiện với một cái kim to hơn và hút mảnh nhỏ của xương và tủy xương.
Nếu những tế bào bệnh bạch cầu được tìm thấy trong mẫu tủy xương, bác sĩ của bệnh nhân sẽ đề nghị những xét nghiệm khác tìm ra phạm vi bệnh. Dùng kim chọc dò tuỷ sống ( chọc ống sống thắt lưng) kiểm tra những tế bào bệnh bạch cầu trong dịch lỏng mà nó làm đầy những không gian bên trong và xung quanh não và tủy sống ( dịch não-tủy). Chụp X quang ngực có thể phát hiện ra dấu hiệu của bệnh trong ngực.
Bệnh bạch cầu được điều trị như thế nào?
Việc điều trị bệnh bạch cầu thì phức tạp. Nó thay đổi tùy theo loại bệnh bạch cầu và không phải là giống nhau cho tất cả các bệnh nhân. Kế hoạch điều trị được tính toán chọn lựa để phù hợp với nhu cầu của từng bệnh nhân. Sự điều trị phụ thuộc không chỉ vào kiểu bệnh bạch cầu mà còn vào những đặc tính nhất định của tế bào bệnh bạch cầu, phạm vi bệnh, và liệu bệnh bạch cầu đã được điều trị trước đó hay chưa. Nó cũng phụ thuộc vào tuổi bệnh nhân, triệu chứng, và sức khỏe nói chung.
Bất cứ khi nào có thể, bệnh nhân cần phải được điều trị tại trung tâm y học có các bác sỹ có kinh nghiệm trong việc điều trị bạch cầu. Nếu điều này là không thể, bác sỹ của bạn nên bàn bạc về kế hoạch điều trị với một chuyên gia ờ một trung tâm như vậy. Bác sỹ của bạn có thể gợi ý một bác sỹ chuyên về bệnh bạch cầu ở người lớn hoặc trẻ em. Bác sỹ điều trị bệnh bạch cầu người lớn là bác sỹ chuyên khoa ung thư, huyết học. Bác sỹ chuyên khoa ung thư và huyết học nhi khoa điều trị bệnh bạch cầu nhi khoa. Đồng thời, bệnh nhân và bác sỹ của họ có thể gọi Dịch vụ Thông tin Ung thư để yêu cầu Thông tin điều trị cập nhật từ Cơ sở dữ liệu của Viện Ung thư Quốc gia.
Bệnh bạch cầu cấp cần điều trị ngay tức thì. Mục đích của điều trị là mang lại sự giảm nhẹ bệnh. Rồi, khi không có bằng chứng của bệnh, nhiều liệu pháp chữa bệnh hơn có thể được đưa để ngăn ngừa một sự tái phát. Nhiều người với bệnh bạch cầu cấp có thể được điều trị khỏi.
Những bệnh nhân bị bệnh bạch cầu mạn không có triệu chứng có thể không yêu cầu sự điều trị tức thời. Tuy nhiên, họ cần phải kiểm tra y khoa thường xuyên sao cho bác sĩ có thể xem liệu bệnh có đang tiến triển hay không. Khi việc điều trị là cần thiết, điều trị giúp kiểm soát bệnh và triệu chứng. Tuy nhiên, bệnh bạch cầu kinh niên có thể hiếm khi được điều trị khỏi.
Nhiều bệnh nhân và những gia đình của họ muốn biết tất cả những điều họ có thể về bệnh bạch cầu và sự lựa chọn điều trị để họ có thể nắm lấy một phần tích cực trong những quyết định ve chăm sóc y khoa. Bác sĩ là người tốt nhất để trả lời những câu hỏi này. Khi bàn luận về điều trị, bệnh nhân ( hoặc, trong trường hợp trẻ em, gia đình bệnh nhân) có thể muốn nói với bác sĩ về sự nghiên cứu các phương pháp điều trị mới.
Chẩn đoán ung thư làm thay đổi cuộc sống bệnh nhân và người thân của họ. Những thay đổi này khó có thể điều khiển được. Bệnh nhân và gia đình họ và bạn bè có nhiều cảm xúc khác nhau và đôi lúc lại sợ.
Lúc này, bệnh nhân và người thân cảm thấy sợ hãi, giận dữ, hay trầm cảm. Dây là phản ứng bình thưòng khi họ đối mặt với vấn đề sức khoẻ nghiêm trọng. Những bệnh nhân trẻ em và thiếu niên, thường có thể đương đầu những vấn đề này tốt hơn nếu họ có thể nói thoải mái về sức khoẻ và cảm xúc của họ với gia đình và bạn bè. Chia sẻ cảm xúc với người khác có thể giúp mọi người thấy dễ chịu hơn, đó là cách để người khác thấy sự lo âu và yêu cầu hỗ trợ cùa họ.
Mối quan tâm tương lai, như nặng về các kiểm tra, điều trị, nhập viện, viện phí. Việc nói với bác sĩ, y tá, nhân viên chăm sóc sức khoẻ có thể trấn an lo âu và cảm giác sợ hãi. Bệnh nhân có vai trò quyết định về việc chăm sóc và lựa chọn điều trị bàng cách đặt câu hỏi về ung thư máu. Họ có thể hỏi bất cứ điều gì mà họ thắc mẳc, chưa tường tận. Bệnh nhân và gia đình có nhiều câu hỏi quan trọng và bác sĩ là người hợp lý nhất trả lời.
Thỉnh thoảng, bệnh nhân dùng con số thống kê ước tính cơ hội chữa trị của họ. Tuy nhiên, nên nhớ rằng đây chỉ số liệu trung bình, chúng được tính dựa trên số lượng lớn và không có hai bệnh nhân ung thư nào hoàn toàn giống nhau. Chỉ bác sĩ theo dõi trực tiếp bệnh nhân mới hiểu rõ tình hình để bàn bạc về cơ hội hồi phục (tiên lưọng). Bác sĩ thường dùng “sống sót” hay “lui bệnh” hơn là khỏi bệnh. Ngay cả nhiều bệnh nhân ung thư máu hoàn toàn hồi phục, bởi vì bệnh có thể tái phát.
Bác sĩ có thể khuyên nhủ về điều trị. việc làm, đến trường, hay những hoạt động khác. Bệnh nhân cũng muốn thảo luận về những lo âu: tương lai, quan hệ gia đình, tài chính. Nếu khó nói với bác sĩ về cảm xúc hay những vấn đề cá nhân, bệnh nhân có thể nói với y tá, nhân viên xã hội hay người khuyên nhủ, thành viên các giáo hội.
Học cách sống với những thay đổi do bệnh ung thư máu sẽ dễ dàng hon cho bệnh nhân và những người chăm sốc họ khi họ có sự trợ giúp thông tin và dịch vụ nâng đỡ. Nhiều bệnh nhân cảm thấy có ích khi nói chuyện với những người có hoàn cảnh giống họ, họ có thể gặp những người này do tự liên lạc hay nhờ nhóm trợ giúp.
Nhũng phương pháp điều trị
Đa số các bệnh nhân bệnh bạch cầu được điều trị với liệu pháp chữa bệnh hóa chất. Một số khác điều trị bằng phóng xạ và ghép tủy xưong ( BMT) hoặc liệu pháp sinh học. Trong vài trường hợp, giải phẫu để cắt lách ( một phẫu thuật gọi là cắt bỏ lách) có thể là một phần của kế hoạch điều trị.
Hoá trị liệu là sự sử dụng thuốc để giết tế bào ung thư. Phụ thuộc vào loại bệnh bạch cầu, bệnh nhân có thể nhận một liều thuốc đon hoặc một sự kết hợp hai hoặc hon nữa loại thuốc điều trị.
Vài thuốc chống ung thư có thể được uống qua đường miệng. Hầu hết được tiêm thuốc vào tĩnh mạch. Thường, bệnh nhân cần có nhiều đường tĩnh mạch để nhận thuốc, thực hiện bằng cách dùng kim luồn vào tĩnh mạch. Một đầu ống nhỏ mềm dẻo được đặt vào trong tĩnh mạch lớn, thường trong ngực trên. Những thuốc được cho vào trong ổng hon là trực tiếp vào trong một tĩnh mạch, để tránh sự khó chịu của những lần bom tiêm nhắc lại và gây thương tổn đến da.
Thuốc chống ung thư được đưa vào cơ thể qua đường tiêm và đường uống vào dòng máu và ảnh hưởng tới các tế bào bệnh bạch cầu trong đa số các bộ phận của cơ thể. Tuy nhiên, những thuốc này thường không đến được những tế bào trong hệ thần kinh trung ương bởi vì chúng bị ngăn lại bời hàng rào máu não. Hàng rào bảo vệ này được hình thành bởi một mạng những mạch máu, nó lọc máu đi tới não và tủy sống. Để đạt đến những tế bào bệnh bạch cầu trong hệ thần kinh trung ương, bác sỹ sử dụng phép chữa bệnh hóa chất trong vỏ não. Trong kiểu điều trị này, thuốc chống ung thư trực tiếp được tiêm vào trong dịch não-tủy.
Phép chữa bệnh hóa chất trong vỏ có thể được đưa vào theo hai cách. Một số bệnh nhân nhận thuốc bởi tiêm vào trong phần thấp của cột sống. Những người khác, đặc biệt là trẻ con, nhận phép chữa bệnh hóa chất trong vỏ não thông qua một ống loại đặc biệt gọi là kho dự trữ Ommaya. Thiết bị này được đặt dưới da đầu, nơi mà nó cung cấp một đường mòn tới dịch não-tủy. Việc tiêm thuốc chống ung thư vào trong kho chứa thay vì vào trong xưc^ng sống có thể làm phép chữa bệnh hóa chất trong vỏ dễ hơn và thuận tiện hơn cho bệnh nhân.
Phép chữa bệnh hóa chất được đưa vào trong theo chu kỳ: thời kỳ điều trị theo sau đó là giai đoạn hồi phục, rồi thời kỳ điều trị khác, vân vân. Trong vài trường hợp, bệnh nhân được điều trị ngoại trú bệnh viện, ở phòng mạch bác sỹ hoặc ở nhà. Tuy nhiên, phụ thuộc vào những thuốc nào đã cho và sức khỏe chung cùa bệnh nhân, sự nằm viện có lẽ cũng cần thiết.
Liệu pháp phóng xạ được sử dụng cùng với phép chữa bệnh hóa chất cho vài loại bệnh bạch cầu. Liệu pháp phóng xạ ( cũng được gọi là trị liệu học bức xạ) sừ dụng những tia sáng năng lượng cao để làm hư hại những tế bào ung thư và ngăn chúng phát triển. Sự bức xạ đến từ một máy lớn. Liệu pháp phóng xạ cho bệnh bạch cầu có thể được đưa vào theo hai cách. Đối với một sổ bệnh nhân, bác sĩ có thể định hướng tia xạ tới một vùng đặc biệt cùa thân thể nơi có sự tập trung của các tế bào bệnh bạch cầu, như lách hoặc tinh hoàn. Những bệnh nhân khác có thể nhận sự bức xạ trực tiếp tới toàn bộ thân thể. Kiểu liệu pháp phóng xạ này, được gọi sự bức xạ tổng số – thân thể, thường được chì định trước khi cấy ghép tuỷ xương.
Ghép tuỷ cũng có thổ cũng được sử dụng cho vài bệnh nhân. Tủy xương sản sinh bệnh bạch cầu của bệnh nhân được phá hủy bởi những liều cao của những thuốc và sự bức xạ và rồi được thay thể bởi tủy xương mạnh khoẻ. Tủy xương mạnh khoẻ có thể lẩy từ một người cho, hoặc nó có thể là tủy của chính bệnh nhân sau khi đã lấy ra và diệt tế bào ung thư bằng hoá chất hoặc tia xạ rồi đưa ngược trờ lại cơ thể người bệnh. Những bệnh nhân được cấy mô tủy xương thông thường ở lại bệnh viện trong vài tuần. Cho đến khi tủy xương cấy bắt đầu sàn sinh đủ bạch cầu, trong suốt thời gian này bệnh nhân phải được bảo vệ cẩn thận tránh bị nhiễm trùng.
Liệu pháp sinh học là bao gồm việc điều trị bằng những chất có tác động tới hệ miễn dịch, giúp cơ thể chống lại bệnh ung thư. Chất kháng thể là một mẫu của liệu pháp sinh học được sử dụng cho vài loại bệnh bạch cầu. Interferon là chất dùng trong liệu pháp sinh học.
Thử nghiệm lâm sàng
Có nhiều bệnh nhân bị bệnh bạch cầu (ung thư máu), tham gia vào thử nghiệm lâm sàng. Thử nghiệm lâm sàng giúp các bác sĩ tìm hiểu xem liệu một phác đồ điều trị mới có an toàn và hệu quả hay không. Thử nghiệm lâm sàng cũng giúp các bác sĩ hiểu được tác dụng của điều trị cũng như phản ứng phụ của nó.
Những bệnh nhân tham gia thử nghiệm cũng có thể là nhũng người đầu tiên được điều trị bằng các phác đồ mới có nhiều hứa hẹn trong nghiên cứu. Trong nhiều nghiên cứu một
Số bệnh nhân được điều trị bằng phác đồ mới trong khi số khác thì được điều trị bằng phác đồ chuẩn đã có từ trước và qua đó các bác sĩ sẽ so sánh sự khác biệt về hiệu quả điều trị. Những bệnh nhân tham gia nghiên cứu đã đóng góp một phần quan trọng cho sự phát triển của y học. Mặc dù có thể gặp vài rủi ro nhưng họ có thể trở thành những người đầu tiên được hường lợi từ các phương pháp điều trị tiên tiến.
Các bác sĩ đang nghiên cứu các phương pháp điều trị mới cho tất cả các loại bệnh bạch cầu (ung thư máu). Họ đang thử nghiệm các loại thuốc mới, cách phổi hợp thuốc hay sử dụng thuốc theo một trình tự mới. Họ cũng đang nghiên cứu phương cách cải thiện vấn đề ghép tủy.
Nhiều thử nghiệm lâm sàng liên quan đến các loại sinh trị liệu khác nhau. Interleukin và các yếu tố kích thích đơn dòng (yếu tố kích thích được tạo từ phương pháp vô tính) là những dạng sinh trị liệu đang được nghiên cứu để điều trị ung thư máu. Thông thưòmg thì sinh trị liệu được kết hợp với hoá trị liệu hoặc ghép tuỷ xương. Bệnh nhân bị ung thư máu (hoặc gia đình họ) nên thảo luận với bác sĩ nếu họ muốn tham gia vào thử nghiệm lâm sàng.
Chăm sóc hỗ trợ
Bệnh ung thư máu và phương pháp điều trị nó có thể gây ra một số biến chứng và tác dựng phụ. Bệnh nhân được chăm sóc hỗ trợ để ngừa và kiểm soát những biến chứng này cũng như để cải thiện chất lượng sổng cùa họ trong quá trình điều trị. Vì bệnh nhân ung thư máu rất dễ bị nhiễm trùng cơ hội nên họ cần được cho kháng sinh và một số thuốc khác để phòng ngừa. Những bệnh nhân này nên tránh tiếp xúc với đám đông hay những người đang bị cảm cúm hay đang bị một bệnh nhiễm trùng nào đó. Một khi họ bị nhiễm trùng thì cần phải nhập viện và điều trị kịp thời vì nó có thể trầm trọng.
Thiếu máu và chảy máu cũng là những vấn đề cần chăm sóc nâng đỡ. Truyền hồng cầu có thể giảm triệu chứng khó thở và mệt mỏi do thiếu máu gây ra. Truyền tiểu cầu giúp giảm nguy cơ chảy máu trầm trọng.
Chăm sóc nha khoa cũng rất quan trọng. Ung thư máu và hoá trị liệu có thể làm cho vùng miệng rất dễ bị nhiễm trùng và chảy máu. Các bác sĩ thường khuyên bệnh nhân khám nha khoa tổng quát trước khi bắt đầu hoá trị. Các nha sĩ sẽ giúp bệnh nhân cách giữ răng miệng sạch sẽ và tốt trong suốt quá trình điều trị.
Điều trị ung thư máu có những tác dụng phụ gì?
Việc điều trị ung thư máu sẽ phá hủy cả tế bào ung thư máu và tế bào bình thường. Kiểm soát để hạn chế tác động cùa thuốc lên tế bào bình thường chỉ còn tác động lên tế bào ung thư máu để giảm tác dụng phụ của thuốc là một việc rất khó thực hiện.
Điều trị ung thư có rất nhiều lác dụng phụ. Chúng phụ thuộc chủ yếu vào loại phác đồ cũng như thời gian điều trị. Mỗi người sẽ có những phản ứng khác nhau và thậm chí trên cùng một bệnh nhân phản ứng phụ ờ đợt điều trị này có thể khác nhũng đợt khác. Nỗ lực của các nhà chuyên môn là giảm tác dụng phụ đến mức tối thiểu.
Các bác sĩ và y tá có thể giải thích những tác dụng phụ cho bệnh nhân biết và hướng dẫn họ thay đổi thuốc, chế độ ăn uống hay các biện pháp nào khác để đổi phó.
Điều trị bệnh bạch cầu cấp bằng thuốc
Tác dụng phụ của hoá trị liệu phụ thuộc chủ yếu vào loại thuốc bệnh nhân sử dụng. Ngoài ra, cũng như các phưong pháp trị liệu khác, tác dụng phụ ở mỗi người sẽ khác nhau. Thường thì thuốc chống ung thư tác động lên các tế bào đang trong giai đoạn phân chia. Các tế bào ung thư có đặc điểm phân chia nhiều hơn tế bào bình thường nên bị tác động bởi hoá trị liệu nhiều hơn. Tuy nhiên một số tế bào bình thường cũng bị phá huỷ. Các tế bào thường hay phân chia gồm tế bào máu; tế bào ở gốc lông, tóc hay ở đường tiêu hoá thường dễ bị phá huỷ. Khi hoá trị liệu ảnh hưởng lên tế bào bình thường nó sẽ làm giảm sức đề kháng của bệnh nhân đối với tình trạng nhiễm trùng và bệnh nhân có thể mất năng lượng và dễ bị bầm tím hay chảy máu. Đa số các tác dụng phụ sẽ hết từ từ trong giai đoạn hồi phục giữa các đợt điều trị và sau khi ngưng điều trị.
Một số loại thuốc chống ung thư có thể ảnh hưởng đến khả năng sinh sản của bệnh nhân. Kinh nguyệt có thể bị rối loạn hay ngưng hẳn và phụ nữ có thể bị triệu chứng mãn kinh như những con nóng bừng và khô âm đạo. Nam giới có thể ngưng tạo tinh trùng. Vì các biến đổi này có thể là vĩnh viễn nên một số đàn ông chọn cách giữ tinh trùng đông lạnh. Hầu hết trẻ em được điều trị ung thư máu có khả năng sinh sản bình thường khi chúng lớn lên. Tuy nhiên tuỳ theo loại thuốc và liều lượng sử dụng cũng như tuổi mà một số trẻ em trai và gái không thể có con khi họ trưởng thành.
Xạ trị
Bệnh nhân bị xạ trị có thể rất mệt mỏi cho nên nghỉ ngoã là quan trọng nhưng các bác sĩ lại khuyên bệnh nhân vẫn duy trì hoạt động như trước.
Khi được xạ trị trực tiếp lên đầu thi bệnh nhân thường bị rụng tóc. Xạ trị có thể làm cho da đầu tại vùng chiếu xạ bị đỏ, khô, giòn và ngứa. Bệnh nhân nên được hướng dẫn cách chăm sóc da đầu sạch sẽ. Họ không nên sử dụng bất cứ loại nước hoa hay kem thoa lên vùng da chiếu xạ mà không tham khảo ý kiến của bác sĩ. Xạ trị có thể gây buồn nôn, nôn và mất cảm giác ngon miệng*. Những tác dụng phụ này là tạm thời và các bác sĩ và y tá có thể đề nghị cách kiểm soát chúng cho đến khi hoàn lất điều trị. Tuy nhiên một số tác dụng phụ có thể kéo dài. Trẻ em (mà đặc biệt là những trẻ nhỏ tuổi) được chiếu xạ ở não có thể ảnh hưởng đến việc học tập. Vì lý do này mà các bác sĩ sử dụng liều xạ trị thấp nhất có thể được và chỉ áp dụng cho những trẻ không thể điều trị bằng hoá trị đơn lẻ. Xạ trị tinh hoàn có thể ảnh hưởng đến khả năng sinh sản cũng như việc sản xuất hormon. Hầu hết những bé trai bị xạ trị tinh hoàn không thể có con sau này và trẻ cần phải sử dụng hormon thay thế.
Ghép tuỷ xương
Bệnh nhân ghép tuỷ xương đối diện với nguy cơ nhiễm trùng, chảy máu và các tác dụng khác do được hoá trị và xạ trị với một liều lượng lớn.
Ngoài ra bệnh ký chủ thải ghép có thể xảy ra ở người nhận tuỷ ghép từ một người khác cho. Trong bệnh này tuỷ của người cho phản ứng chống lại mô của ký chủ (thường là gan, da và đường tiêu hoá). Bệnh này có thể từ mức độ nhẹ đến trầm trọng và có thể xảy ra vào bất cứ thời điểm nào sau khi ghép (thập chí vài năm sau). Có thể cho thuốc để làm giảm nguy cơ bệnh này và điều trị những biến chứng do nó gây ra.
Vấn đề dinh duỡng cho bệnh nhân ung thư
Một số bệnh nhân ung thư rất khó ăn uống, họ có thể mất cảm giác ngon miệng. Ngoài ra họ còn mắc phải những biến chứng thường gặp trong quá trình điều trị như buồn nôn, nôn, đau miệng nôn việc ăn uống có thể trở nên khó khăn. Một vài bệnh nhân thay đổi cảm giác đối với thức ăn (nói thêm; có thể trước đây họ thích ăn một loại thức ăn nào đó nhưng bây giờ lại không thích thậm chí thấy sợ loại thức ăn đó nữa). Hơn nữa khi khó chịu và mệt mỏi thì chẳng ai thích ăn uống nữa.
Ăn uống tốt có nghĩa là phải cung cấp đầy đủ năng lượng và protein để tránh sụt cân và lấy lại sức lực. Những bệnh nhân nào ăn uống tốt trong suốt quá trình điều trị sẽ cảm thấy tốt hơn và có nhiều năng lượng hơn và họ có thể vượt qua được những tác dụng phụ trong quá trình điều trị.
Các bác sĩ, y tá và các nhà dinh dưõng có thể tư vấn cho việc ăn uống trong quá trình điều trị ung thư.
Điều gì xảy ra sau khi điều trị ung thư máu?
Tái khám đều đặn định kỳ là một việc hết sức quan trọng trong điều trị ung thư máu. Bác sĩ sẽ tiếp tục kiểm tra bệnh nhân chặt chẽ để chắc rằng ung thư không tái phát lại. Kiểm tra bao gồm kiểm tra máu, tuỷ xương và dịch não tuỷ. Mỗi lần kiểm tra bác sĩ phải khám lâm sàng cẩn thận.
Điều trị ung thư có thể gây ra các tác dụng phụ sau nhiều năm. Vì lý do này nên bệnh nhân phải tiếp tục được kiểm tra định kỳ và phải báo những thay đổi về mặt sức khoẻ cho bác sĩ ngay khi nó xảy ra. sống với một bệnh trầm trọng không phải là việc dễ. Bệnh nhân bị ung thư và những người chăm sóc họ phải đối mặt với nhiều vấn đề và thử thách lớn. Neu được cung cấp những thông tin hữu ích và các dụng cụ hỗ trợ thì việc đối phó với những khó khăn này sẽ dễ dàng hơn.
Bệnh nhân ung thư có thể lo lắng về công việc làm, về việc chăm lo cho gia đình hay những trách nhiệm khác. Cha mẹ đứa trẻ bị ung thư máu có thể lo lắng không biết con họ có thể học hành hay sinh hoạt bình thường hay không, chính những đứa trẻ cũng rất buồn vì không được tham gia những trò chơi với các bạn bè khác. Ngoài ra, những lo lắng về các xét nghiệm, phương pháp điều trị, ăn ờ trong bệnh viện cũng như chi phí điều trị là những vấn đề thường gặp. Bác sĩ, y tá và các nhân viên y tế khác có thể trả lời những câu hỏi về điều trị, công việc hay các khía cạnh khác, việc gặp gỡ người làm công tác xã hội, nhà tư vấn hay người làm từ thiện có thể hữu ích cho những bệnh nhân muốn bày tỏ những tâm tư tình cảm của mình.
Bạn bè và người thân là những người hỗ trợ nhiều nhất. Nhiều bệnh nhân cũng cảm thấy nhẹ nhõm khi thảo luận những vấn đề của họ với những người bị ung thư khác. Bệnh nhân ung thư thường thành lập những nhóm tương trợ tại đó họ có thể chia sẻ những kinh nghiệm về cách đối phó với ung thư và hiệu quả điều trị với nhau. Ngoài những nhóm tương trợ của người lớn còn có những nhóm hỗ trợ đặc biệt cho trẻ em ung thư hoặc gia đình của họ ở nhiều thành phố. Tuy nhiên một điều quan trọng cần ghi nhớ là mỗi bệnh nhân là một thế giới riêng biệt. Việc điều trị và cách tiếp cận với bệnh ung thư có thể áp dụng được cho bệnh nhân này nhưng lại không đúng cho bệnh nhân khác thậm chí nếu cả hai mắc cùng một loại bệnh ung thư. Cách tốt nhất là phối hợp thào luận giữa bạn bè, gia đình bệnh nhân với bác sĩ.
Thường thì những nhân viên hoạt động xã hội tại bệnh viện hay phòng khám có thể đề nghị những hội, nhóm có thể giúp khôi phục, nâng đỡ tinh thần, hỗ trợ tài chánh, vận chuyển hay chăm sóc nhà cửa cho bệnh nhân.
Tương lai của bệnh nhân ung thư máu?
Các nhà nghiên cửu đang tìm thấy những phương cách tốt hơn để điều trị ung thư máu và cơ hội hồi phục đang được cải thiện. Một điều hết sức tự nhiên là bệnh nhân ung thư và gia đình họ rất quan tâm về tương lai của họ. Một sổ người lấy chỉ số tỷ lệ sống còn và một vài thông số thống kê khác để cố đoán xem bệnh nhân có được chữa khỏi hay còn sống được bao lâu nữa.
Tuy nhiên một quan trọng cần nhớ rằng những thông số thống kê là những trị số trung bình được lấy từ một dân số lớn bệnh nhân. Chúng không thể được sử dụng để tiên đoán xem điều gì sẽ xảy ra cho một bệnh nhân nào đó vì không có lai bệnh nhân ung thư nào là giống nhau. Điều trị và đáp ứng điều trị rất khác biệt giữa các bệnh nhân ung thư. Người tiên lượng tốt nhất chính là bác sĩ điều trị cho bệnh nhân. Bệnh nhân và gia đình nên bình tĩnh để hỏi bác sĩ về tiên lượng bệnh, nhưng họ cần lưu ý rằng thậm chí bác sĩ cũng không thể biết chính xác điều gì sẽ xảy ra.
Bác sĩ thường nói về khía cạnh sống còn của bệnh ung thư và họ có thể sử dụng thuật ngữ thuyên giảm hon là chữa khỏi. Thậm chí ở nhiều bệnh nhân ung thư máu được chữa khỏi họ cũng sử dụng thuật ngữ này (tức bác sĩ nói là bệnh thuyên giảm) vì bệnh có thể tái phát trở lại.
Bệnh nhân ung thư máu nên lấy thông tin ở đâu?
Thông tin về bệnh ung thư có rất nhiều bao gồm một bảng dưới đây. Bạn có thể tìm kiếm thêm thông tin tại thư viện hay tiệm sách địa phưong và từ những hội tương trợ trong cộng đồng bạn đang ở.