Tiếp theo đánh giá đau bụng cấp bằng triệu chứng lâm sàng, ta đánh giá tiếp bằng các phương tiện cận lâm sàng sau đây:

[toc]
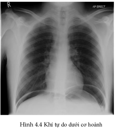
1. Có khí tự do trên x quang ngực đứng?
Thực hiện xquang ngực đứng ở tất cả bệnh nhân đau bụng trên cấp tính; sự hiện diện của khí tự do dưới cơ hoành cho biết thủng tạng rỗng. Bảo đảm đường truyền tĩnh mạch, phản ứng chéo máu, bồi phụ thể tích và chuyển phẫu thuật ngay lập tức.

Nếu xquang ngực không chứng minh có khí tự do hoặc tương đương nhưng nghi ngờ trên lâm sàng cao như đau bụng dữ dội khởi phát đột ngột với tăng cảm giác đau, đề kháng vùng thượng vị, cho chụp CT nhưng trước tiên cho làm amylase và ECG như mô tả ở bước 2 và 3.
2. ECG chứng tỏ thiêu máu cục bộ?
Hội chứng vanh cấp, đặc biệt là nhồi máu cơ tim vùng dưới có thể biểu hiện không điển hình với đau thượng vị. Tuy nhiên, tụt huyết áp hoặc chảy máu nặng ở bệnh nhân có bệnh lý bụng cấp có thể thúc đẩy hoặc làm nặng thêm thiếu máu ở bệnh nhân có bệnh lý mạch vành ổn định; trong bối cảnh này nhập viện và cho tiêu huyết khối mạnh có thể gây ra hậu quả nặng nề.
- ECG ở tất cả bệnh nhân.
- Chuyển khoa tim mạch ngay lập tức nếu có những biểu hiện của nhồi máu cơ tim ST chênh lên.
- Ở bệnh nhân ST chênh xuống, đánh giá cẩn thận tụt huyết áp, nhiễm trùng huyết, thiếu oxy và chảy máu trước khi cho là biến cố động mạch vành cấp.

- Ở bệnh nhân thay đổi sóng T không đặc hiệu, xét nghiệm các marker sinh học của tim để hỗ trợ chẩn đoán và tiếp tục tìm kiếm nguyên nhân khác.
- Tìm kiếm ý kiến của khoa tim mạch nếu nghi ngờ chẩn đoán.
3. Amylase tăng?
Định lương amylase ở bất kỳ bệnh nhân nào có đau bụng thượng vị dữ dội. Những bệnh nhân có amylas > 3 lần giới hạn trên, 95% có khả năng viêm tụy, mức > 1000 U/L nên được cân nhắc chẩn đoán.
Nếu amylase ở mức bình thường hoặc không rõ ràng, tiếp tục nghi ngờ viêm tuỵ cấp nếu bệnh sử đặc trưng và:
•biểu hiện trễ
Hoặc:
•có tiền sử nghiện rượu, đặc biệt ở bệnh nhân có tiền sử viêm tụy.
Ở những bệnh nhân này, xem xét chụp CT có thuốc cản quang để tìm kiếm bằng chứng của viêm tụy.
Một khi đã chẩn đoán viêm tuỵ, đánh giá bệnh nhân nhiều lần để xác định bằng chứng của biến chứng như sốc, thiếu oxy (hội chứng suy hô hấp cấp), đông máu rãi rác nội mạch; tính điểm tiên lượng Glasgow hoặc bảng điểm tiên lượng khác đã hợp thức hóa; và theo dõi CRP.

Xử trí tât cả bệnh nhân viêm tụy cấp nặng hoặc nguy cơ cao (sốc, suy tạng, điểm Glasgow ≥3 hoặc đỉnh CRP > 210 mg/L) hoặc ở đơn vị chăm sóc nguy kịch. Siêu âm bụng để tìm kiếm sỏi mật, những bệnh nhân viêm tụy nặng có thể đòi hỏi nội soi mật tụy ngược dòng
khẩn cấp và lấy bỏ sỏi, đặc biệt nếu có vàng da và giãn đường mật. Xem xét CT để đánh giá sự lan rộng của tổn thương tụy và tìm kiếm bằng
chứng của biến chứng như nhiễm trùng, đặc biệt ở bệnh nhân suy tạng kéo dài hoặc đáp ứng viêm toàn thân.
4. Đau bụng kèm vàng da?
Siêu âm bụng khẩn cấp ở những bệnh nhân đau bụng trên cấp và vàng da để tìm kiếm viêm gan hoặc tắc mật.
Giả định nhiễm trùng đường mật ít nhất là lúc đầu, nếu bệnh nhân không khỏe với sốt cao ± rét run hoặc vàng da tắc mật; cho kháng sinh tĩnh mạch, nếu siêu âm xác nhận giãn đường mật, chuyển phẫu thuật ngay lập tức để giảm áp lực đường mật.
5. Đau bụng cấp kèm đáp ứng viêm?
Ở giai đoạn này, sử dụng sự có mặt hoặc vắng mặt đáp ứng viêm để khu trú chẩn đoán phân biệt.

- Cho siêu âm bụng nhanh chóng để xác nhận hoặc loại trừ viêm đường mật cấp ở bất kỳ bệnh nhân nào có những biểu hiện viêm kết hợp với bất kỳ yếu tố nào sau đây.đau bụng khu trú một phần tư trên bên phải
- tăng cảm giác đau khi sờ nắn ở một phần tư trên bên phải bụng.
- dấu Murphy dương tính (ngưng thở đột ngột khi đang thở sâu trong lúc ấn sâu điểm túi mật)
Khi loại trừ viêm đường mật cấp, siêu âm có thể chỉ ra một nguyên nhân khác như viêm thận bể thận, viêm gan, tụ dịch dưới cơ hoành.
Nếu không có những biểu hiện trên, xem xét các rối loạn khác:
- Viêm đáy phổi nếu có bằng chứng lâm sàng hoặc xquang của đông đặc đáy phổi đặc biệt nếu kèm ho có đàm hoặc khó thở.

- Viêm dạ dày ruột ở những bệnh nhân với nôn cấp và không có để kháng hay gồng cứng thành bụng (đánh giá lại thường xuyên)
6. Tính chất cơn đau quặn mật
Đau quặn mật là nguyên nhân phổ biến của đau bụng trên dữ dội cấp tính ở những bệnh nhân mà thậm chí đang khỏe mạnh và không có đáp ứng viêm hệ thống. Siêu âm bụng có thể trợ giúp chẩn đoán bằng cách chứng minh sự có mặt của sỏi mật. Tuy nhiên, sỏi mật không có triệu chứng là rất phổ biến và do vậy bệnh sử là rất quan trọng để chẩn đoán chính xác.
Tìm kiếm những biểu hiện gợi ý sau đây:
• Đau khởi phát sau bữa ăn vài giờ (có thể đánh thức bệnh nhân)
• Kéo dài ≤6 giờ, sau đó hoàn toàn không còn triệu chứng
• Vị trí đau chủ yếu là thượng vị hoặc một phần tư bụng trên bên phải ± lan ra sau
• Đau liên tục, âm ĩ hoặc quặn thắt khó chịu (không phải là đau quặn như đau quặn bụng)
• Tiền sử có các đợt triệu chứng tương tự.
Cho siêu âm bụng những bệnh nhân có tiền sử gợi ý. Nếu đau đã ổn định và chưc năng gan trong giới hạn bình thường, siêu âm có thể thực hiện ở khoa bệnh ngoại trú.
7. Xem xét những nguyên nhân khác
Những bệnh nhân khỏe mạnh với nôn cấp tính và phơi nhiễm nguồn nhiễm trùng gần đây hoặc ăn thức ăn đáng ngờ có khả năng viêm dạ dày ruột cấp.
Nghi ngờ viêm dạy dày cấp nếu bệnh nhân mới khởi phát cảm giác cồn cào, bỏng rát hoặc khó chịu mơ hồ vùng thượng ± tăng cảm giác đau nhẹ – đặc biệt nếu có liên quan với triệu chứng khó tiêu như buồn nôn, ợ hơi, ợ nóng hoặc tiền sử uống nhiều rượu/ thuốc kháng viêm non steroid, xem xét loét đường tiêu hóa nếu có tiền sử với các triệu chứng tương tự.
Trong nhiều trường hợp, không thể chẩn đoán xác định thì cho nhập viện
để quan sát ± hội chẩn ngoại nếu triệu chứng không cải thiện hoặc có các biểu hiện đáng lo ngại khi thăm khám.
Ngược lại, những bệnh nhân có thể có xuất viện như thông thường với đánh giá tham ở ngoại trú nếu triệu chứng tái phát hoặc dai dẵng.
Bạn có thể tìm hiểu thêm về dịch vụ của trung tâm bác sĩ gia đình tại đây: https://bsgiadinh.vn/kham-benh-tai-nha/
Hoặc có thể gọi ngay số điện thoại sau để được tư vấn trực tiếp.