[toc]
NGUYÊN NHÂN VÀ TRIỆU CHỨNG:
- Lâm sàng: vùng hạ sườn hạ xuống thấp khi hít vào và phồng lên khi thở ra.
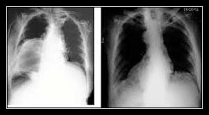
- Soi X-quang: nửa vòm nhô lên cao và bất động;
- Chụp X-quang: nửa vòm nhô lên cao.

NGUYÊN NHÂN:
- Di chứng do chấn thương sản khoa;
- Di chứng do viêm tủy xám;
- Viêm màng phổi, tràn khí màng phổi;
- Ung thư phổi;
- Viêm màng ngoài tim;
- Bệnh hạch ở trung thất;
- Tổn thương tủy sống cổ phía trên;
- Chấn thương cột sống cổ;
- Hội chứng Parsonage – Turner.
LIỆT HAI BÊN (thường nhất là kèm với liệt cơ gian sườn và cơ bụng):

Bạn có thể tìm hiểu thêm về dịch vụ của trung tâm bác sĩ gia đình tại đây: https://bsgiadinh.vn/kham-benh-tai-nha/
Hoặc có thể gọi ngay số điện thoại sau để được tư vấn trực tiếp.