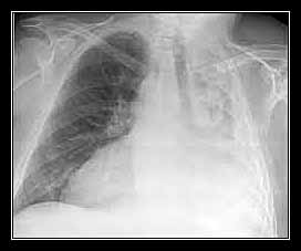
Mất âm hô hấp khu trú: bóng mờ co kéo trên phim X-quang. Xẹp phổi từng phần đôi khi rất khó nhìn thấy trên phim.
- Xẹp thùy giữa: hình trên phim phía – bên có giá trị chẩn đoán;
- Xẹp thùy dưới: co rút sau bóng tim.
[toc]
1. XẸP PHỔI CẤP (với ho, đau, khó thở, xanh tím).
– Do vật lạ rơi vào phế quản.
– Sau khi mổ, hoặc bệnh nặng, hoặc đau và không ho được.
– Chấn thương ngực hoặc bụng.
– Liệt hô hấp.
– Hôn mê, tai biến mạch máu não.

2. XẸP PHỔI TIẾN TRIỂN (có ít hoặc không có dấu hiệu chức năng).
- Bướu phế quản, ung thư phế quản – phổi (chồi hoặc hẹp).
- Hạch ung thư.
- Bướu lành phế quản.
- Hẹp phế quản sau chấn thương.
- Hẹp do viêm.
- Lao: hạch của lao sơ nhiễm, xẹp phổi sau khái huyết; lao phế quản muộn;
- Hen suyễn.
- u trung thất.
- Bệnh Hodgkin, bệnh sarcom – lympho.
Bạn có thể tìm hiểu thêm về dịch vụ của trung tâm bác sĩ gia đình tại đây: https://bsgiadinh.vn/kham-benh-tai-nha/
Hoặc có thể gọi ngay số điện thoại sau để được tư vấn trực tiếp.